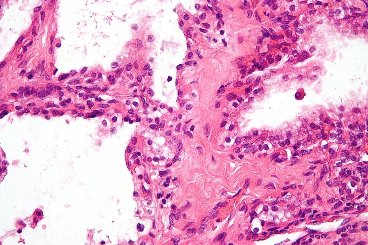
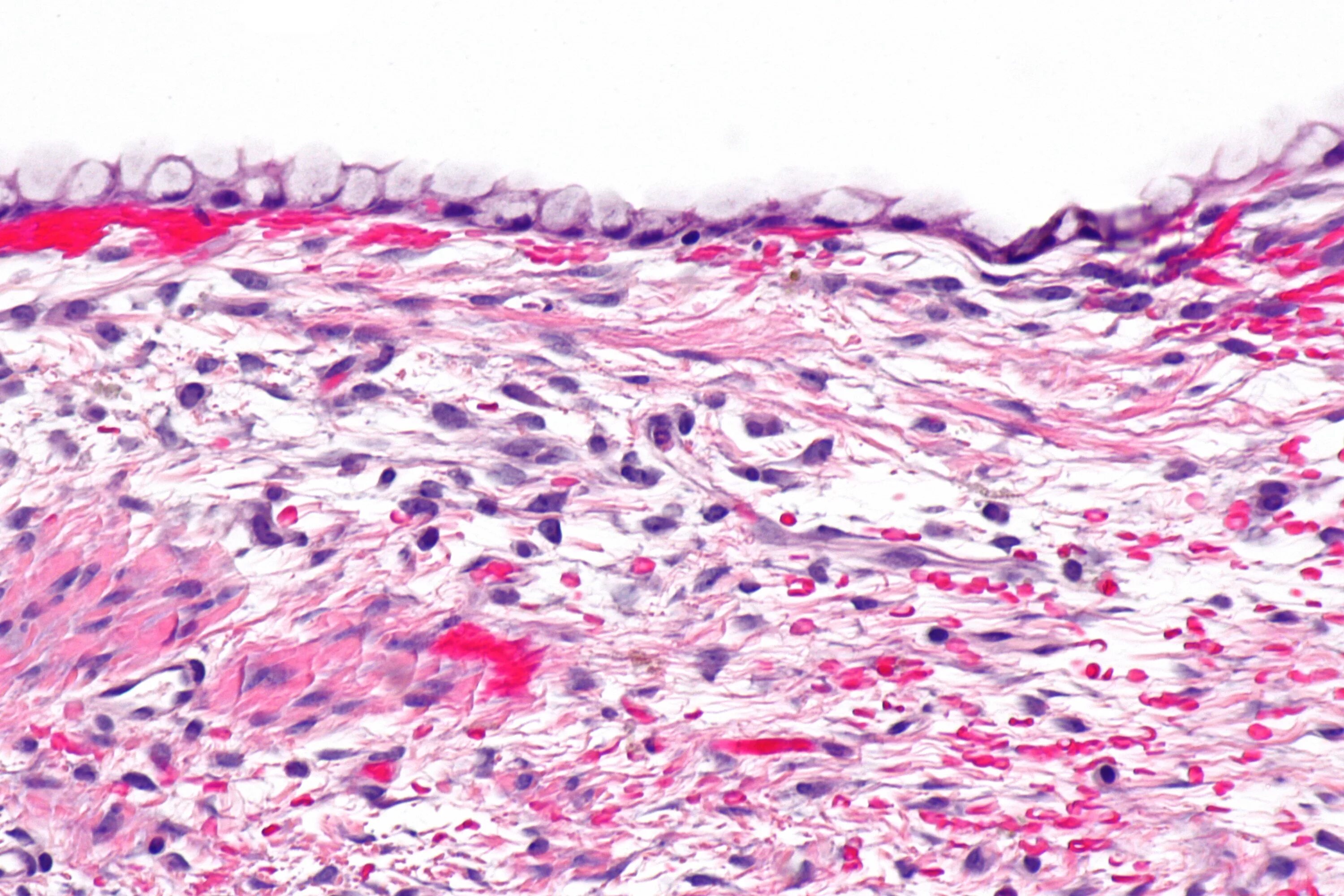
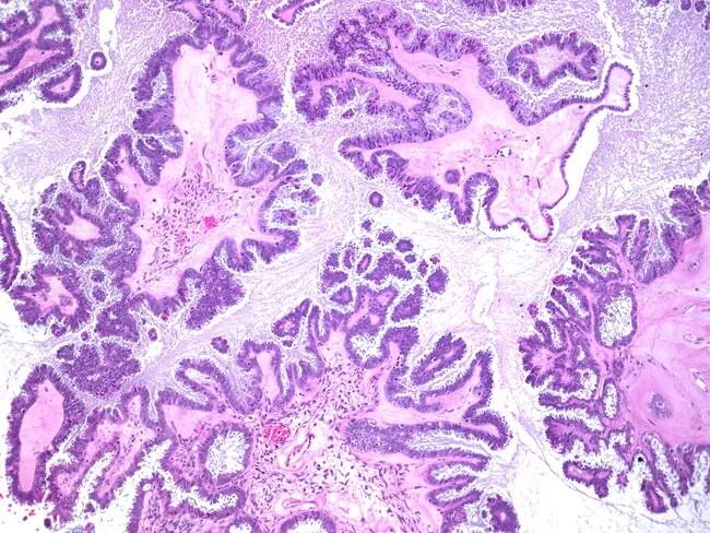
Гистология цистаденомы