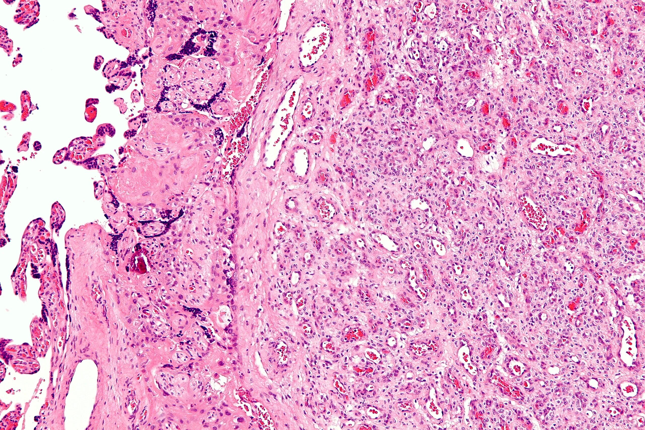
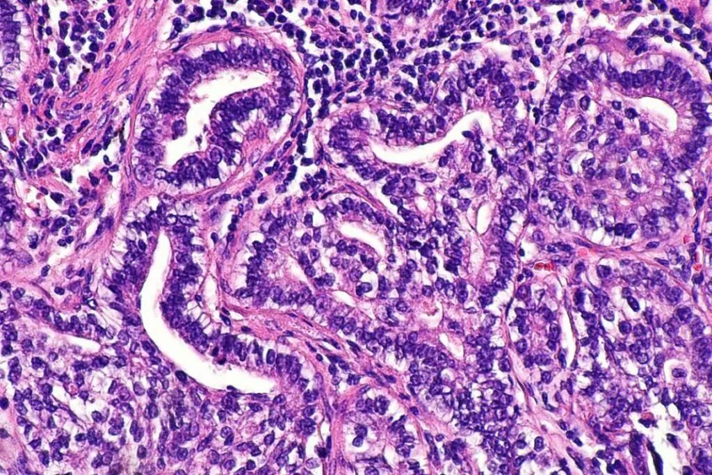
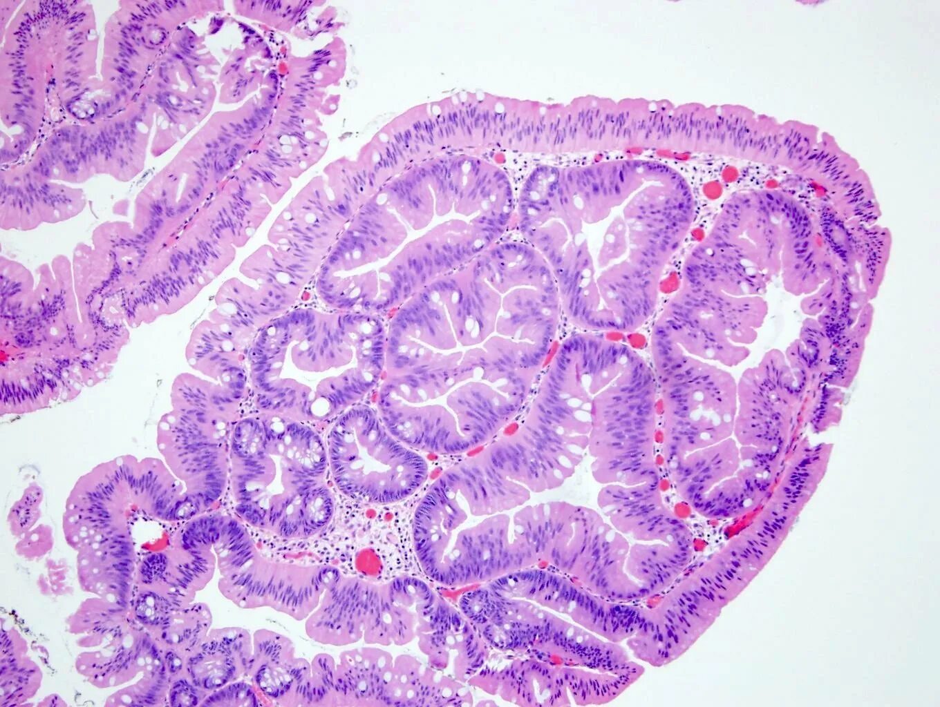
Гистология э