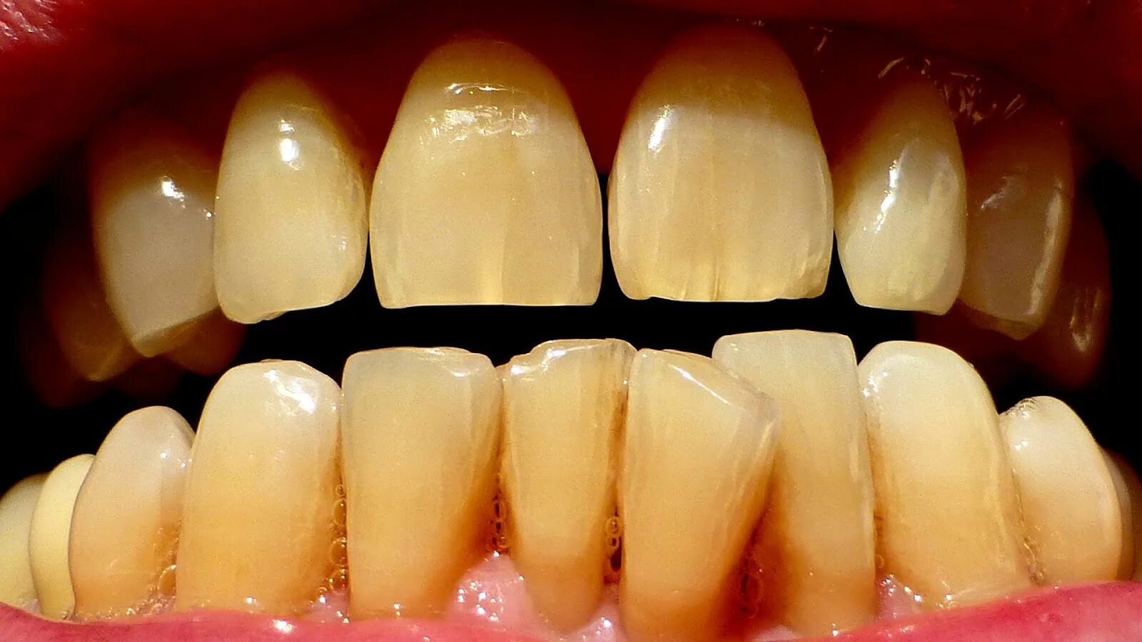
Зубы в виде трубочек без эмали