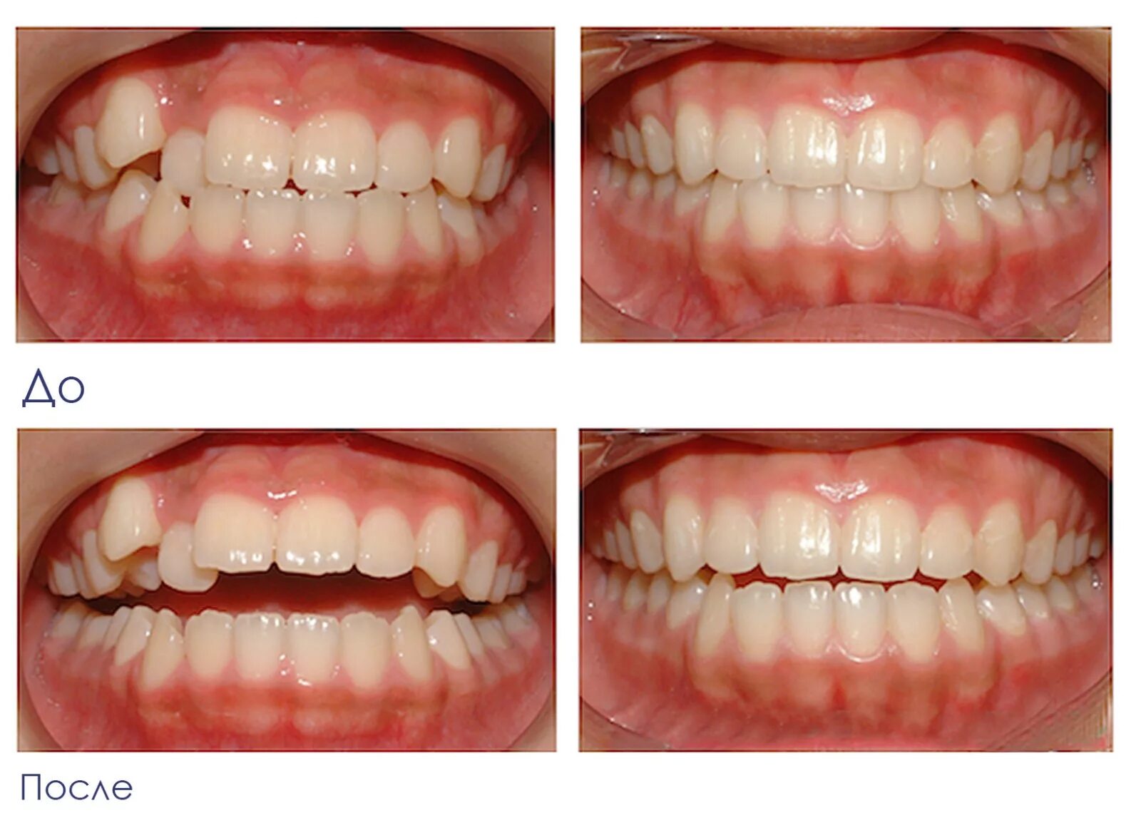
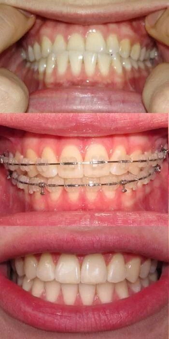
Зубы после брекетов форум