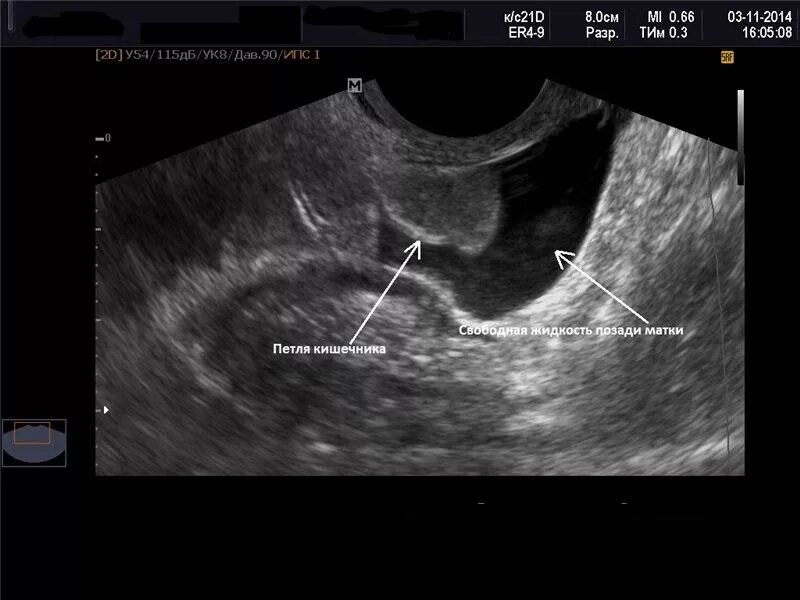
Жидкость в позадиматочном пространстве при беременности