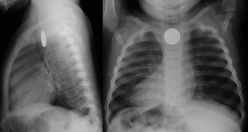
Застряла в трахее