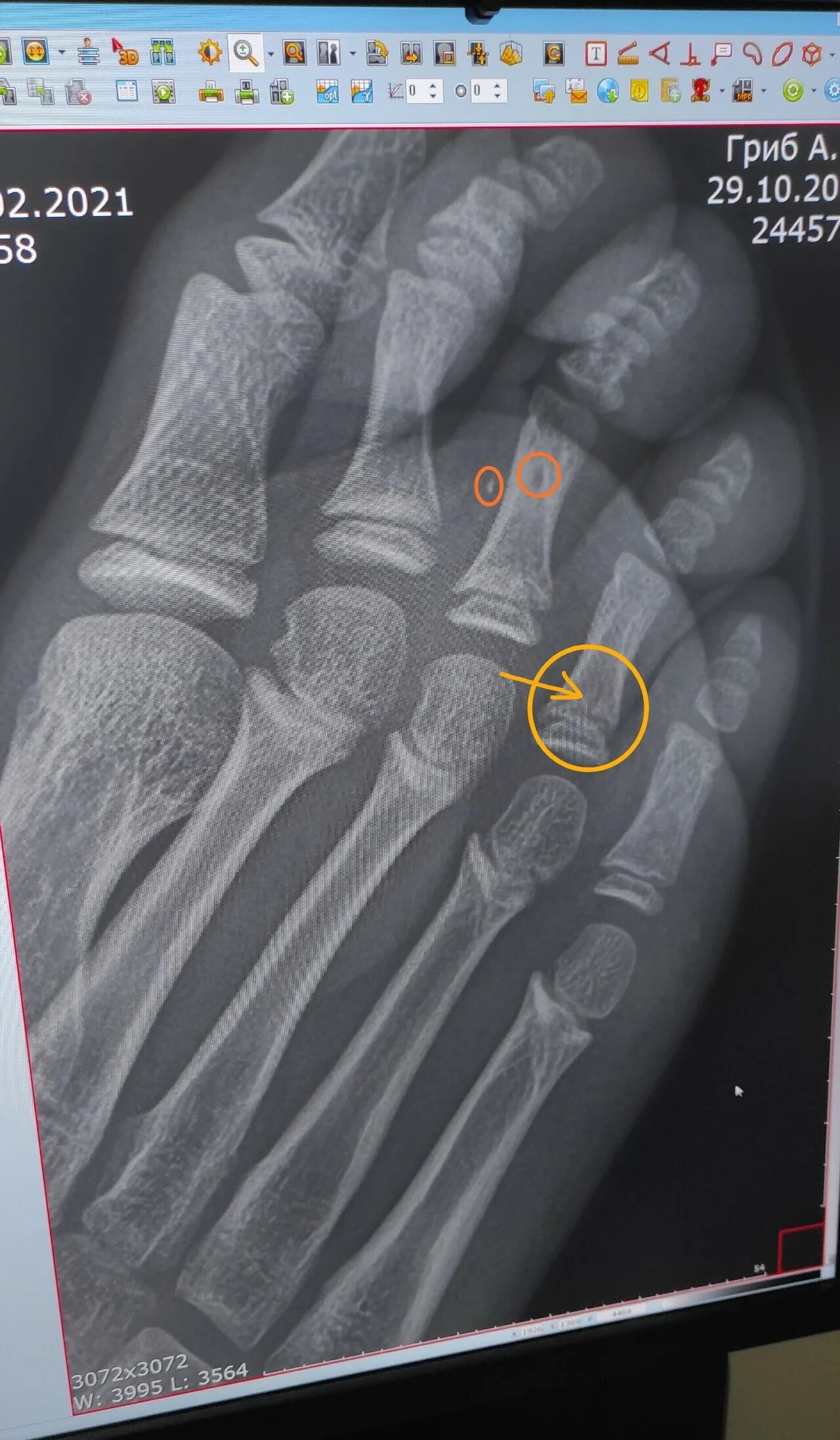
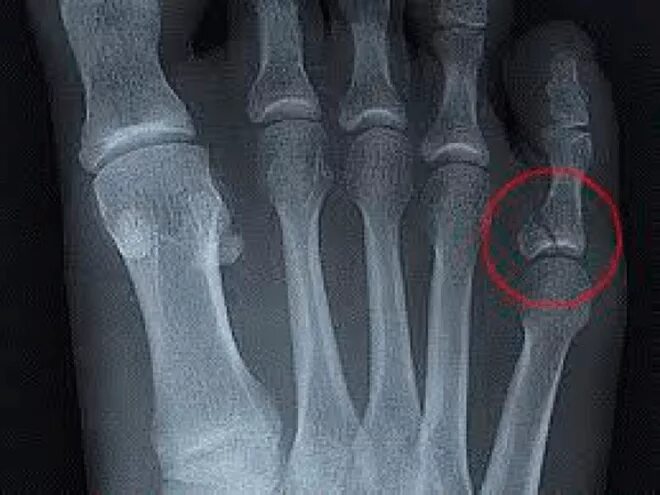
Закрытый перелом пальцев стопы мкб 10