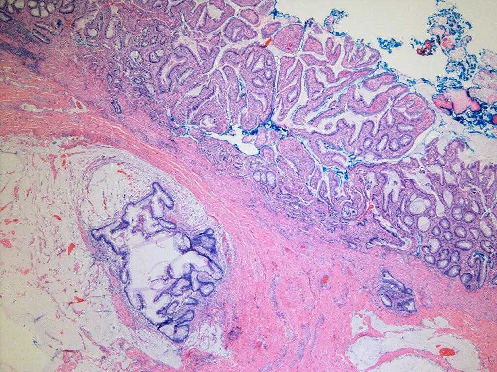
Язва гистология