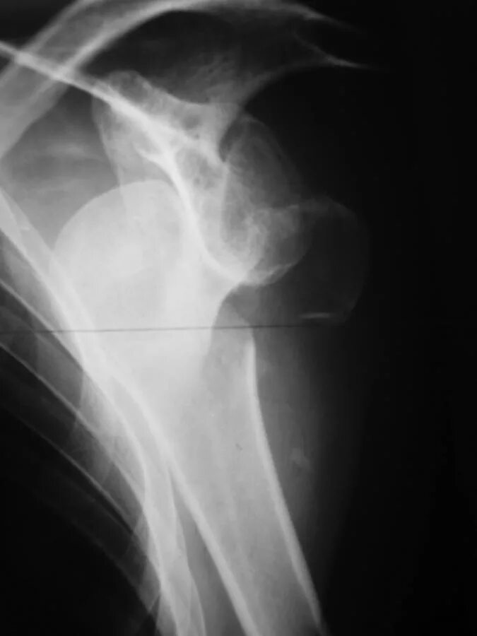
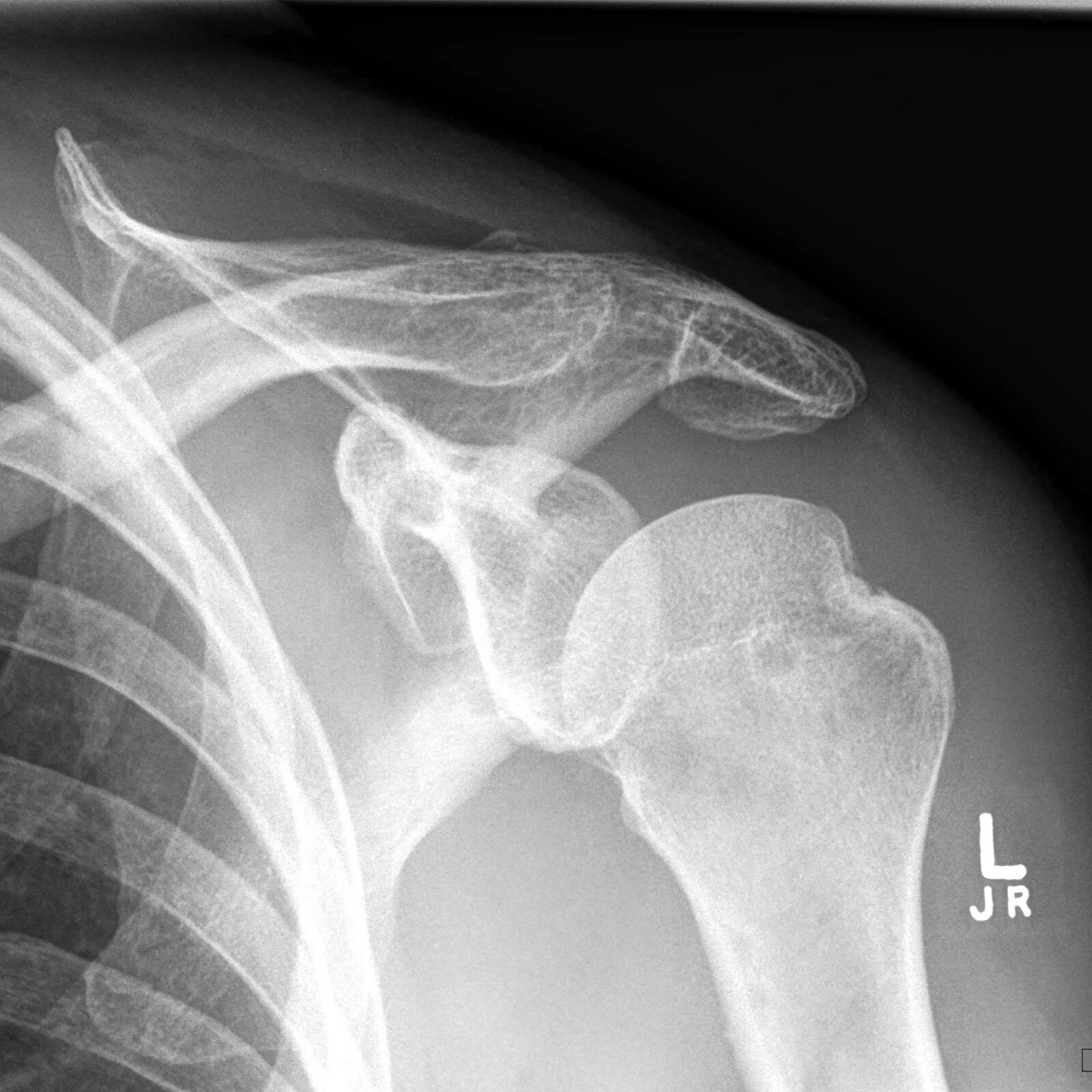
Вывих плеча у пожилых