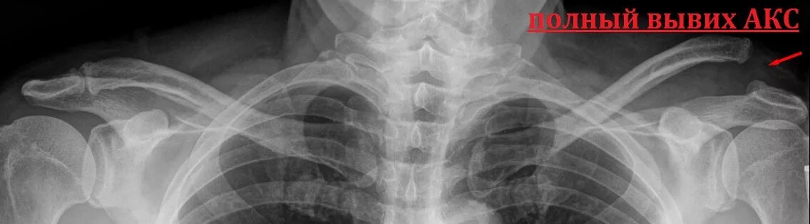
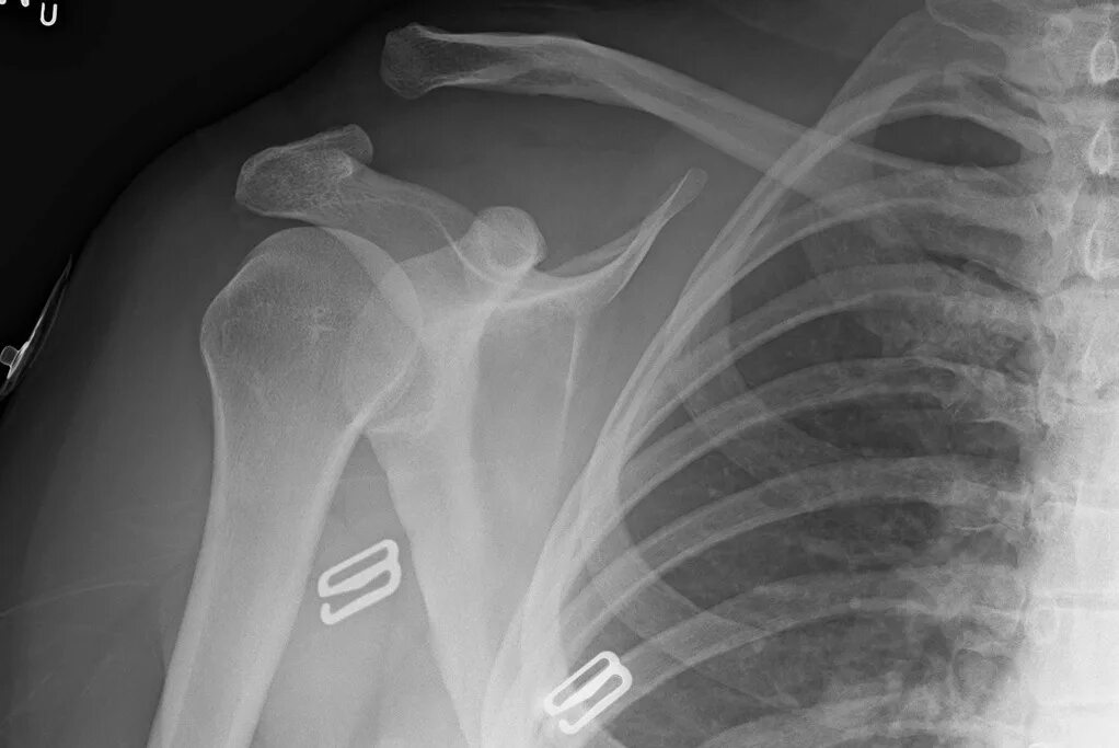
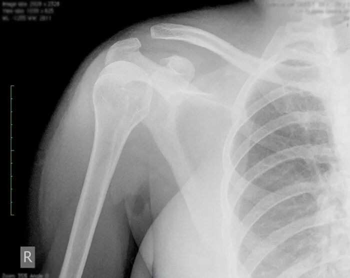
Вывих акромиально ключичного сочленения