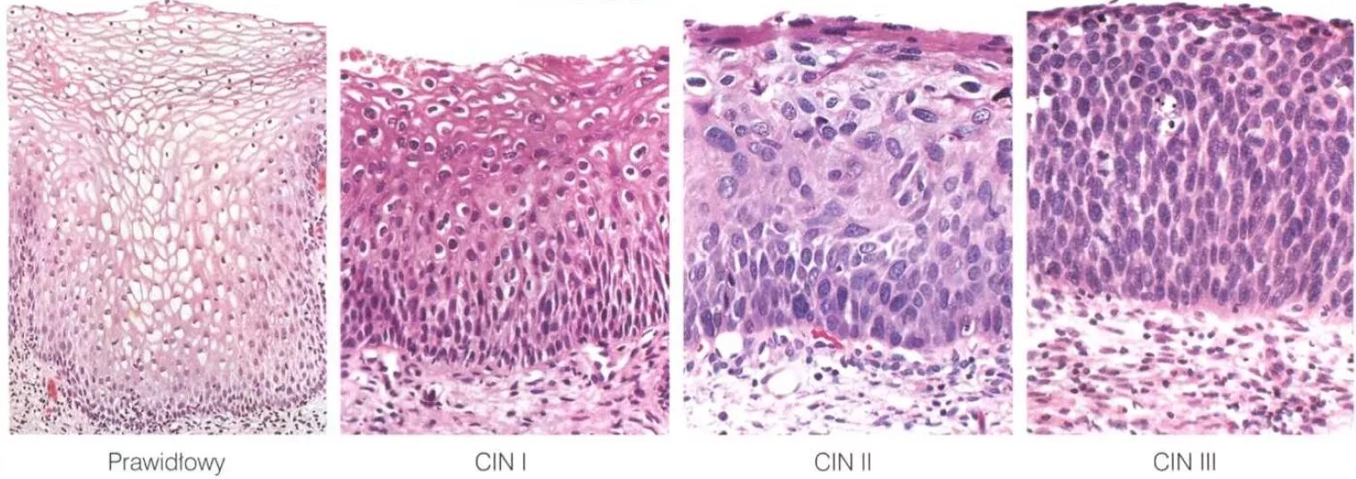
Высокую степень интраэпителиального