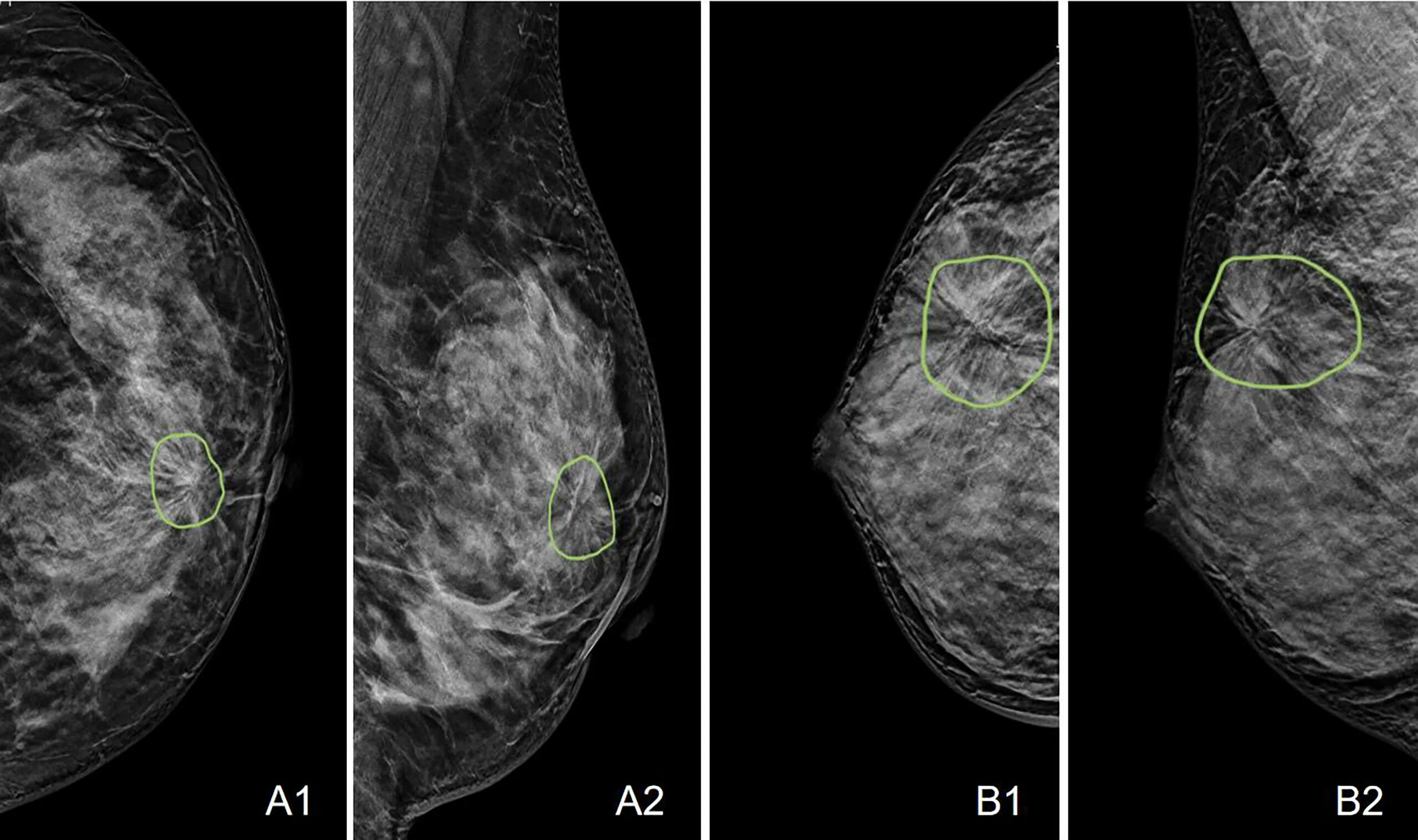
Выраженный диффузный фиброаденоматоз молочных