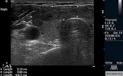
Выраженные диффузные изменения щитовидной железы