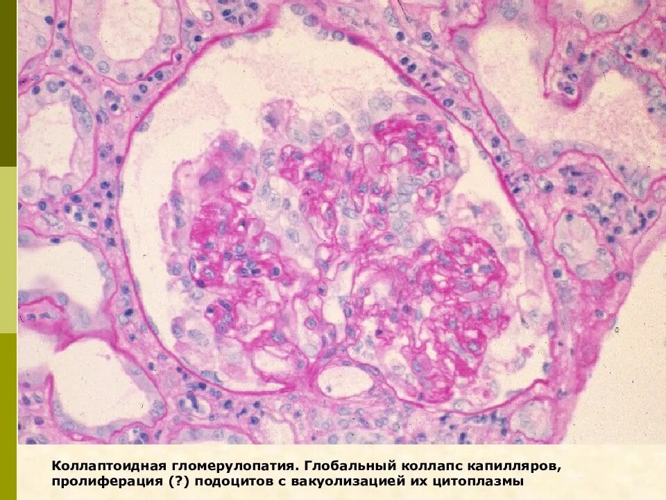
Выраженная пролиферация клеток