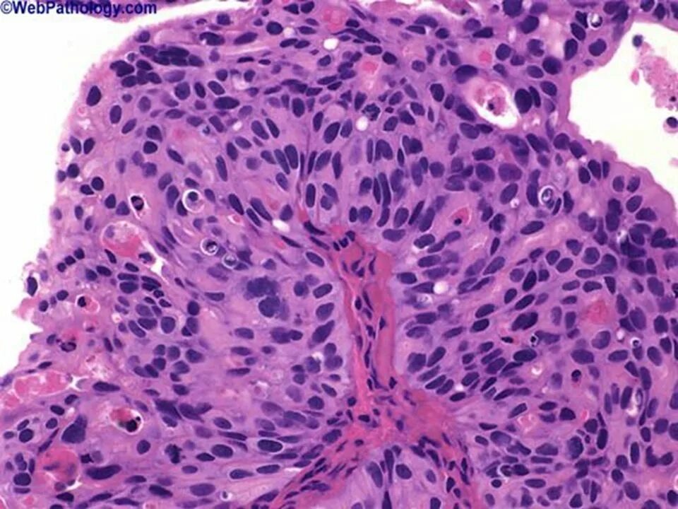
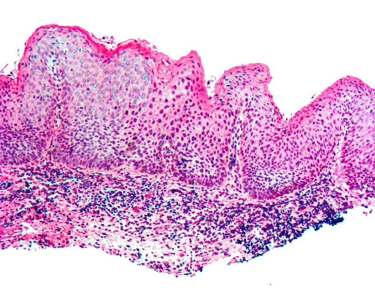
Выраженная атипия