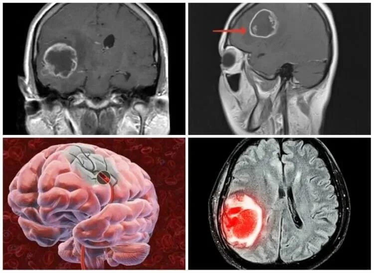
Вылечу злокачественную опухоль