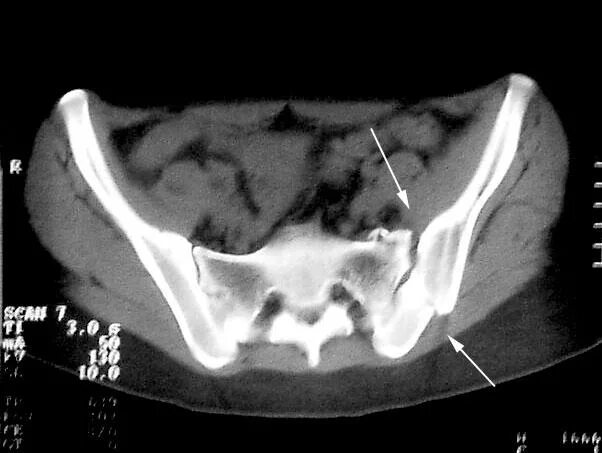
Воспаление подвздошных сочленений