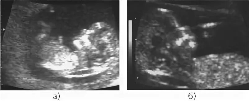
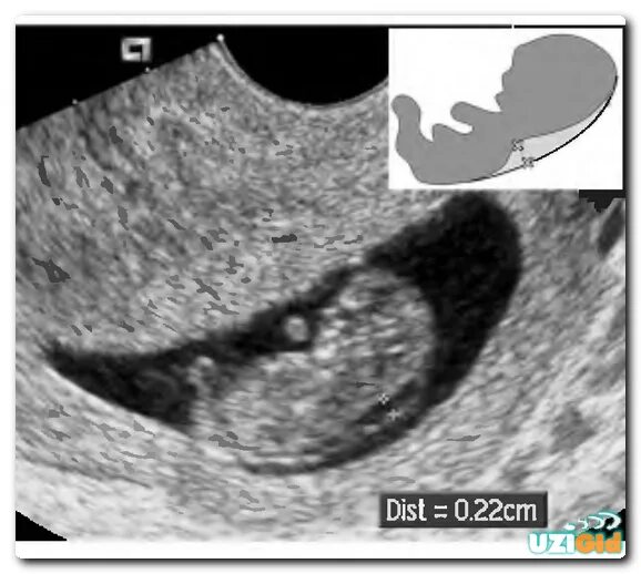
Воротниковое пространство 5