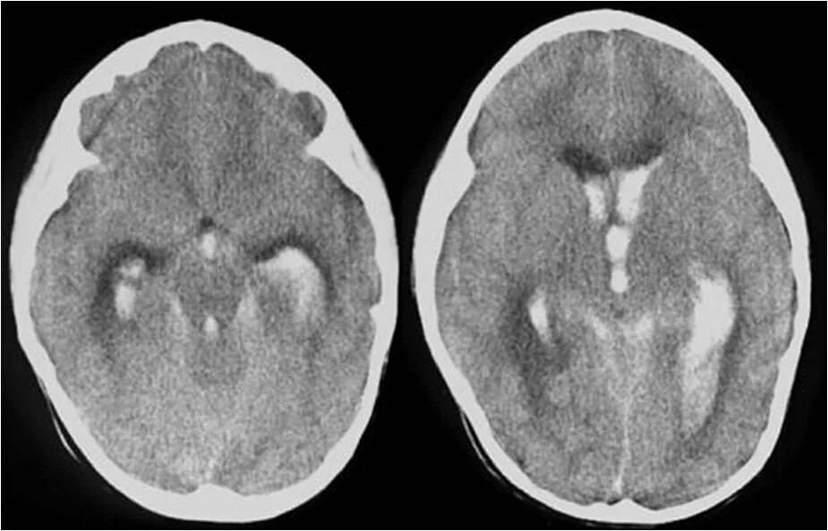
Внутрижелудочковое кровоизлияние