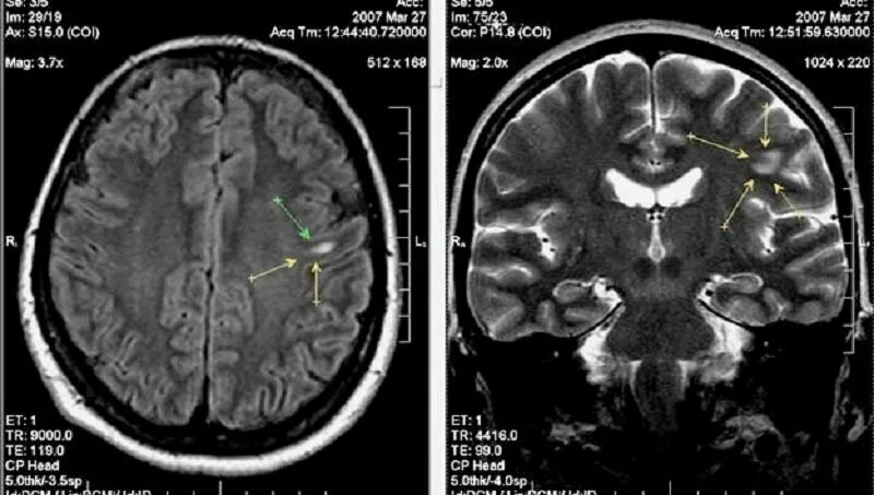
Вазогенные очаги белого