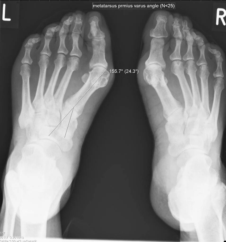
Вальгусная деформация стопы степени