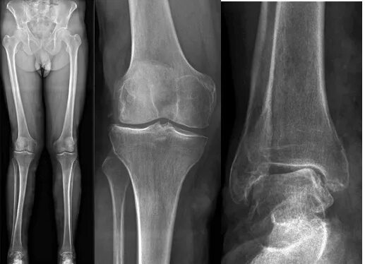
Вальгусная деформация коленных суставов у взрослых