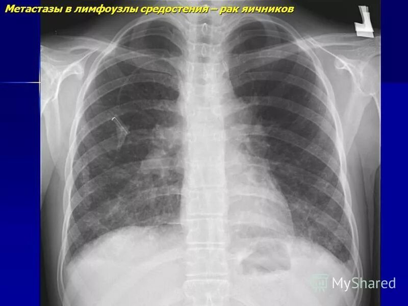
В лимфоузлах метастазы выживаемости