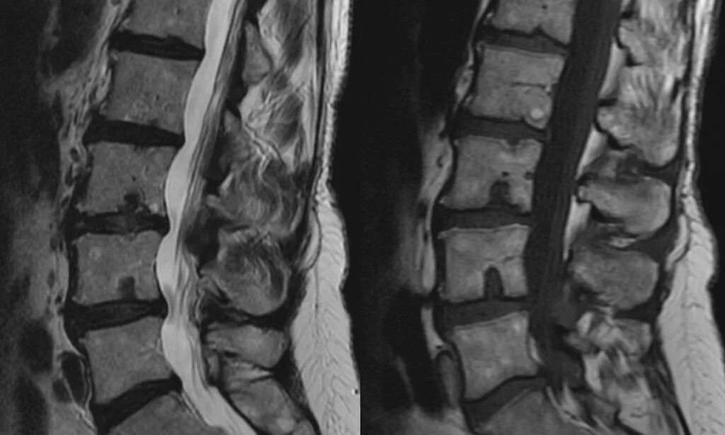
Узлы шморля в грудном отделе что это