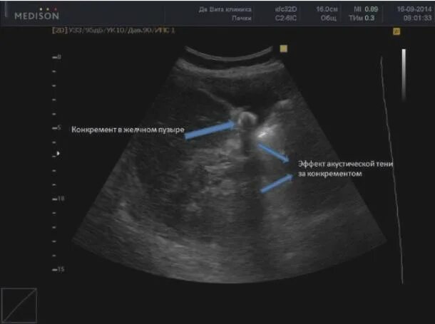
Узи желчного пузыря подготовка к процедуре