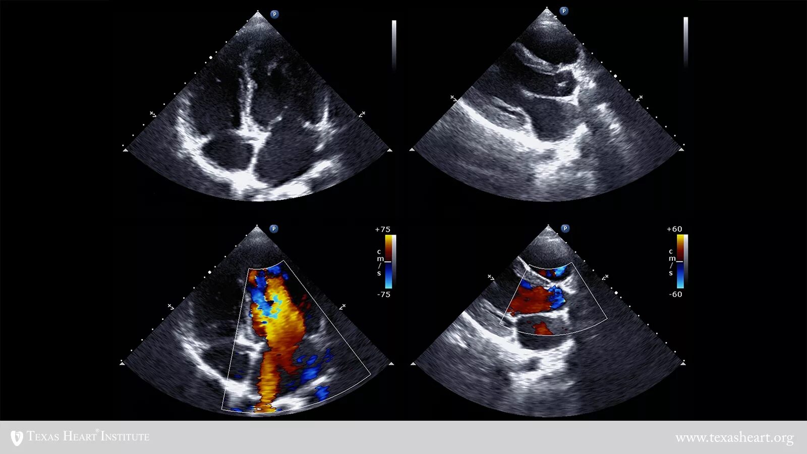
Узи сердца показывает сердечную недостаточность