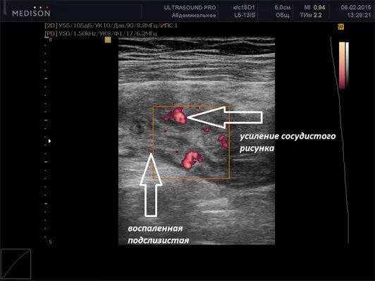
Узи прямой кишки как делают