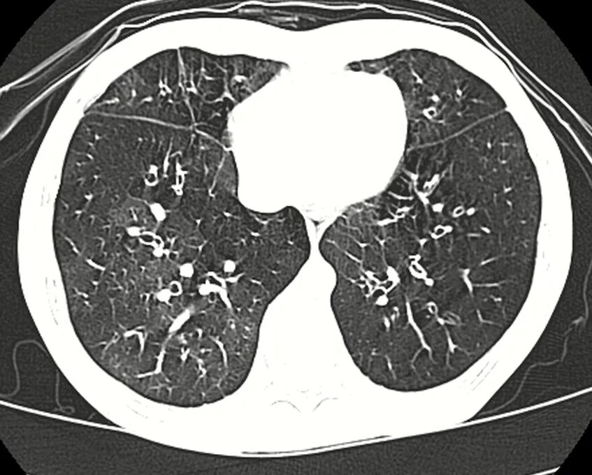
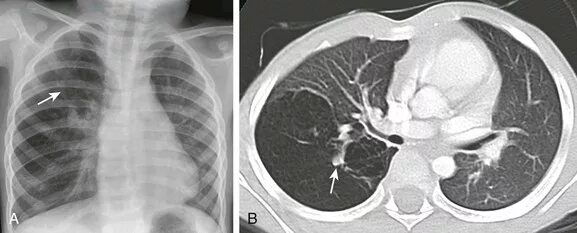
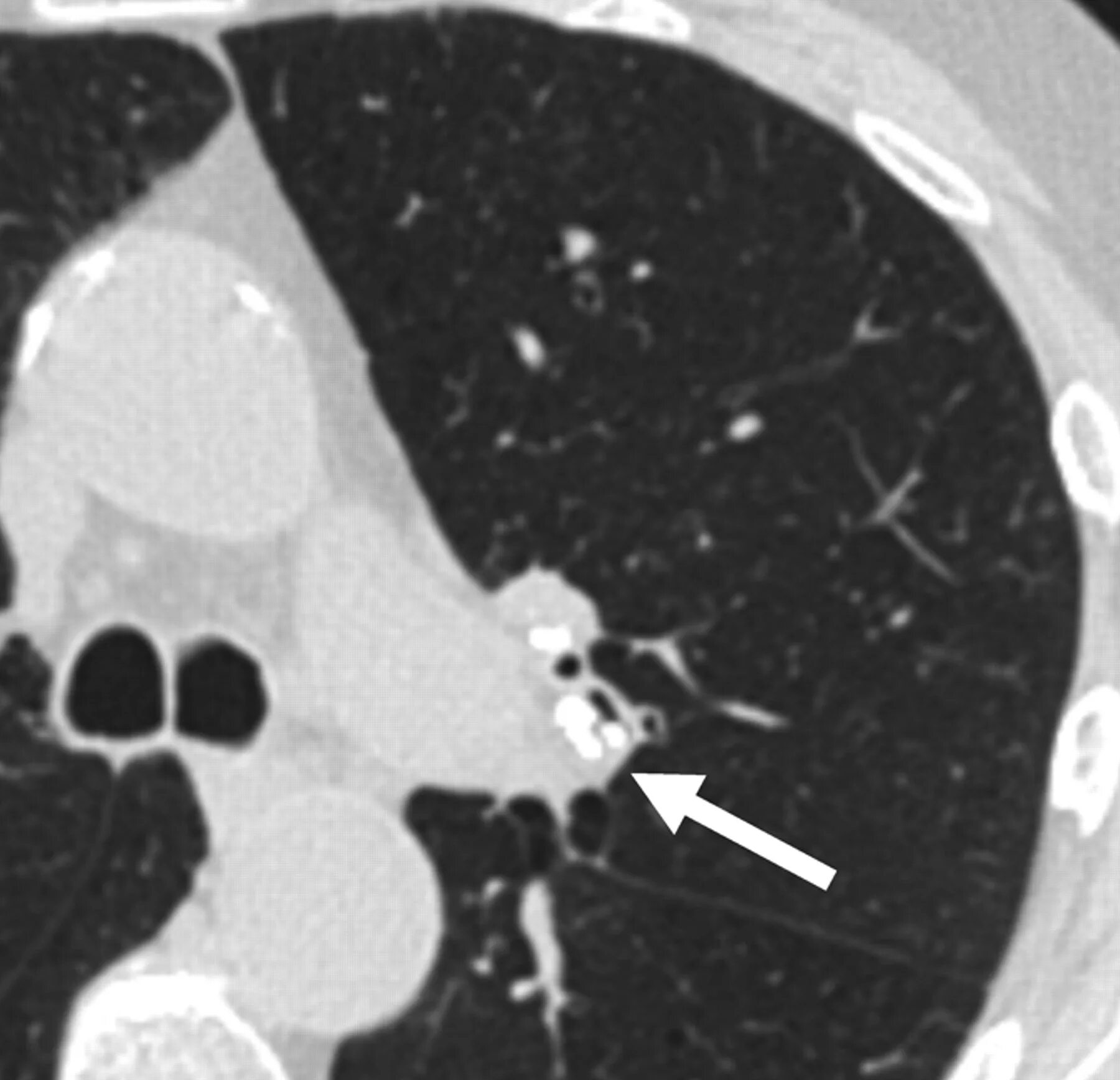
Утолщение бронха