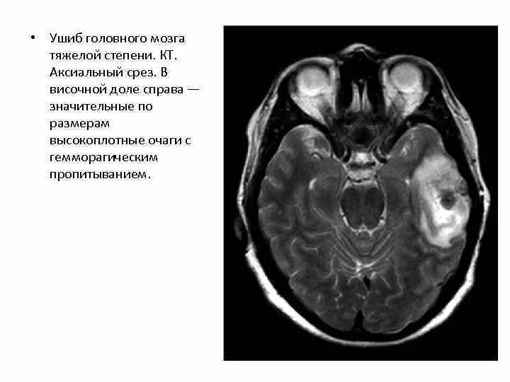
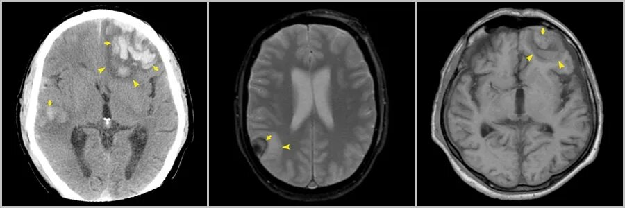
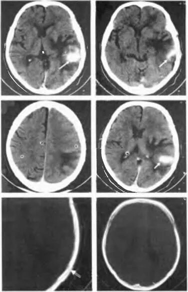
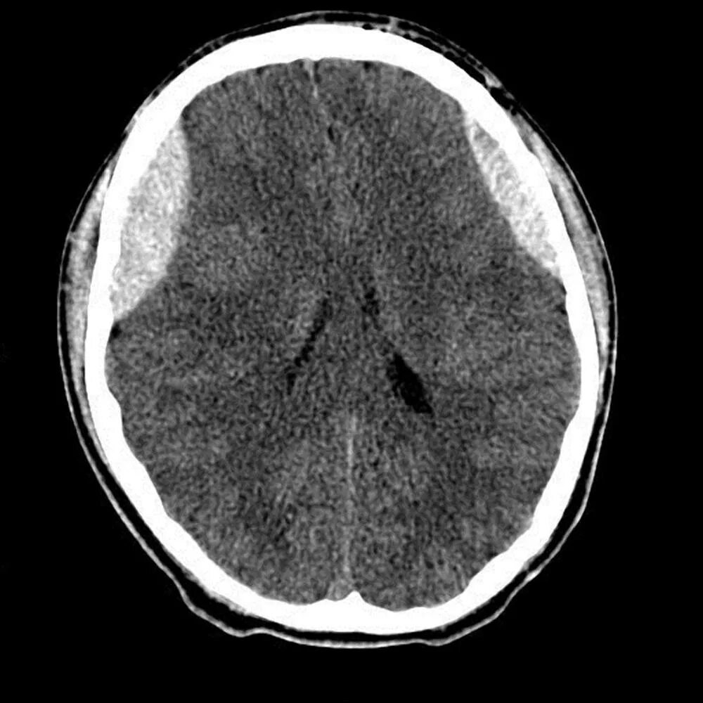
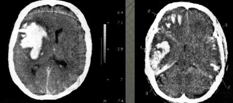
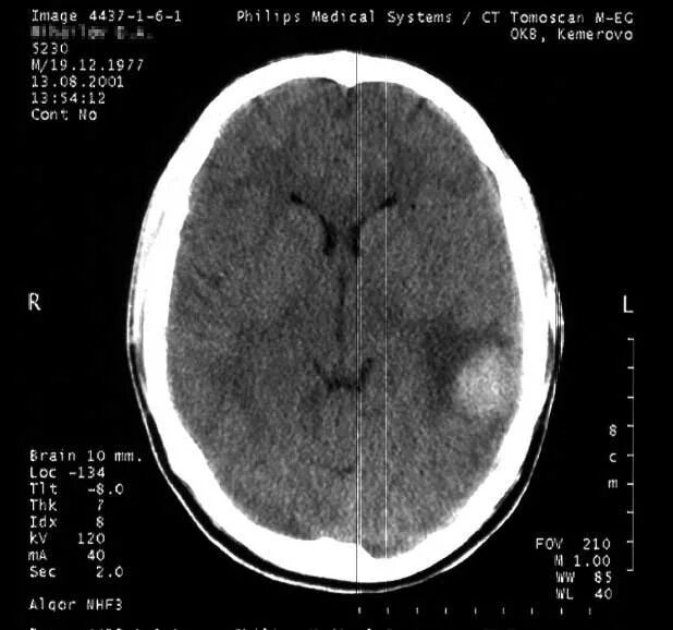
Ушиб мозга на кт