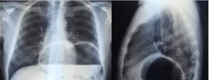
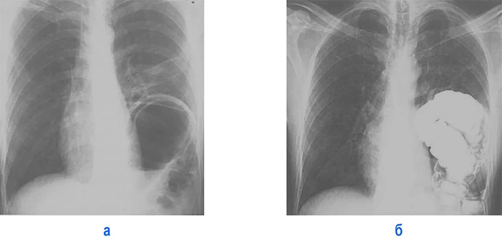
Ущемление грыжи диафрагмы