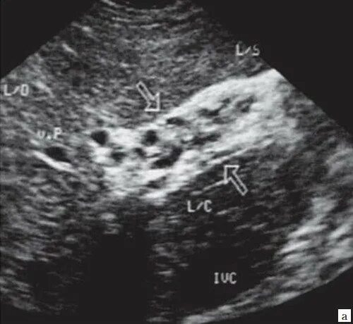
Уплотнение внутрипеченочных протоков