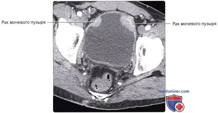
Уплотнение стенки мочевого пузыря