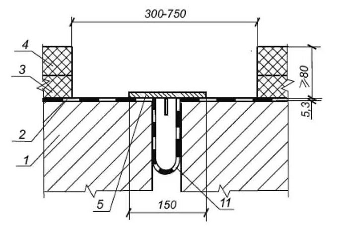
Уплотнение диафрагмы