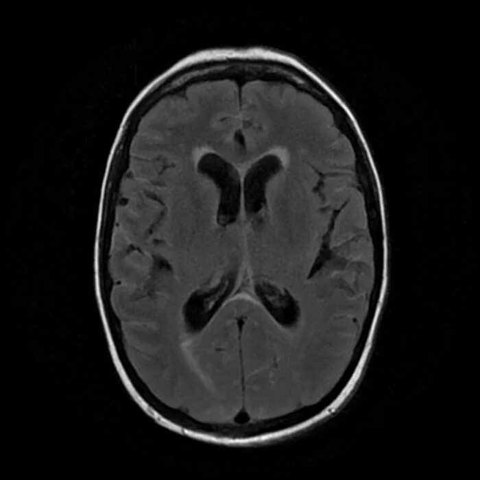
Умеренное расширенное субарахноидальное пространство