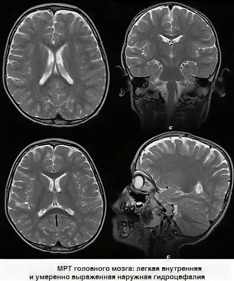
Умеренно выраженное внутреннее