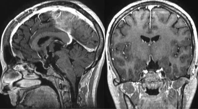
Умеренная дисфункция диэнцефальных структур мозга