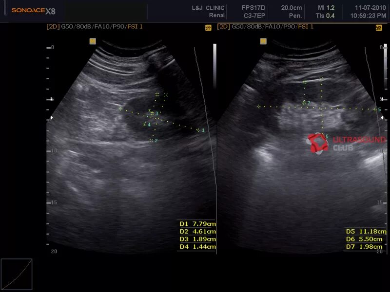
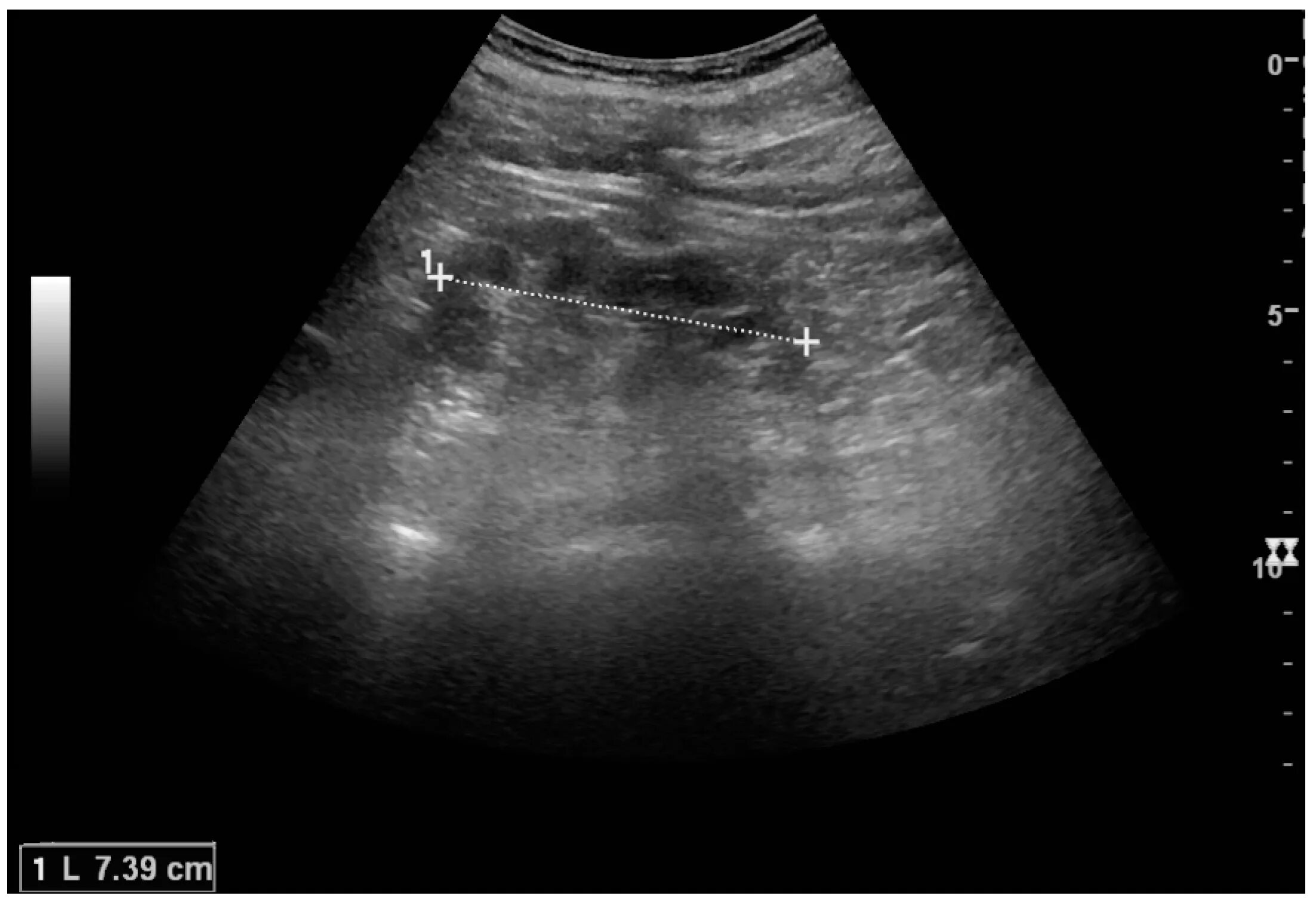
Уменьшение размеров почки