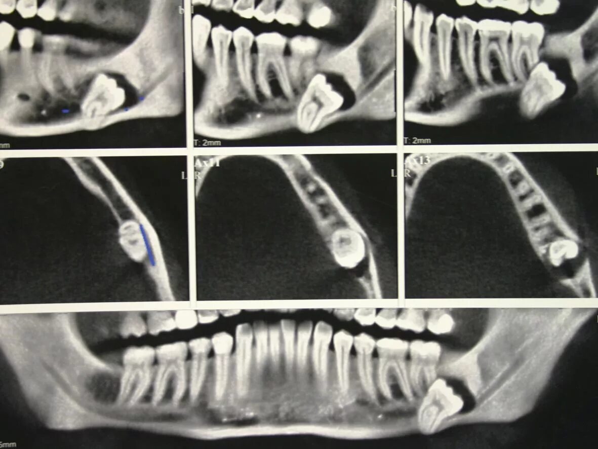
Удалить зубы семерки