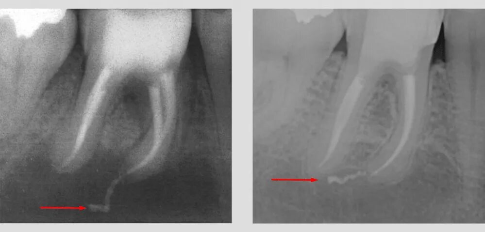
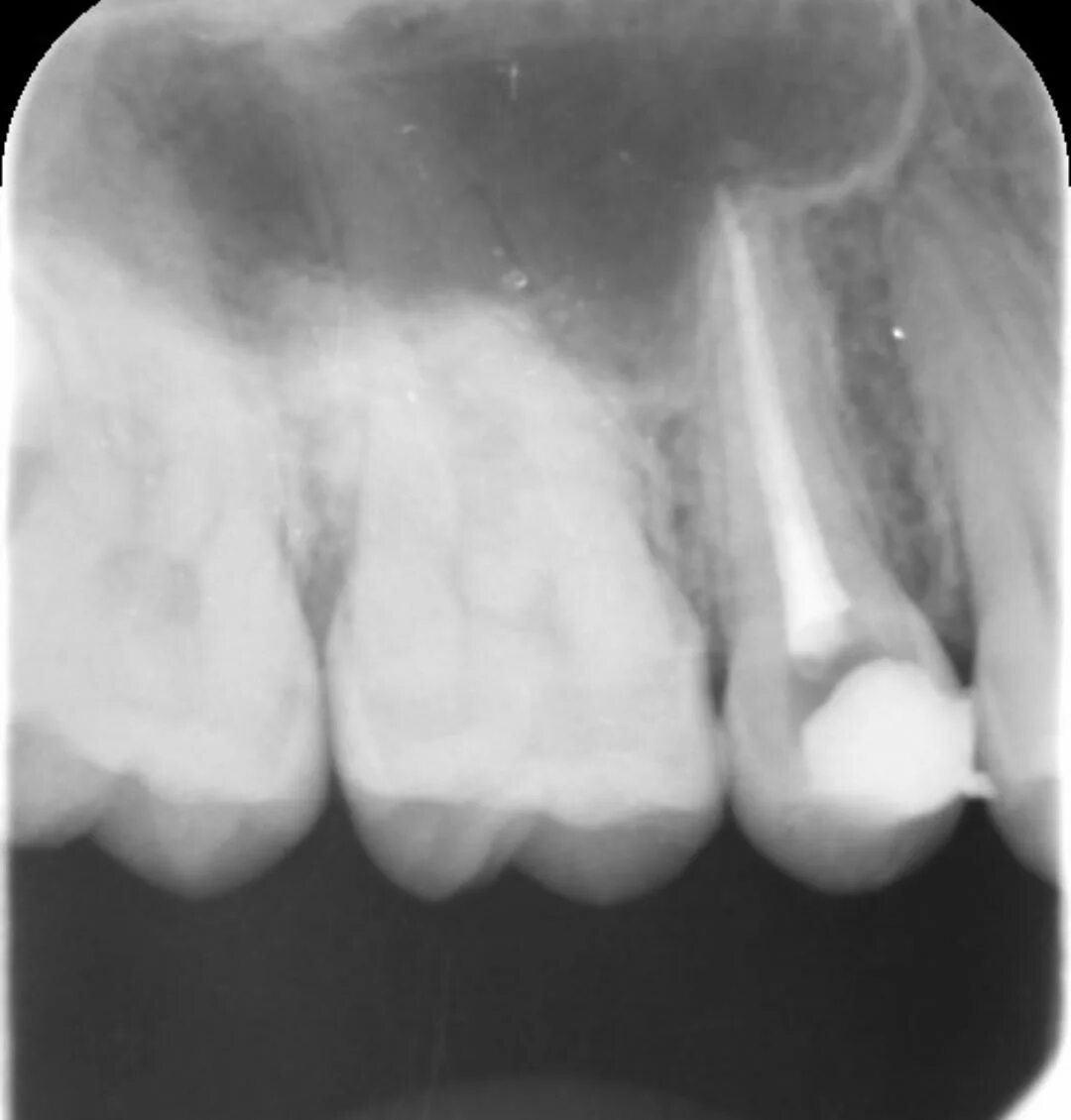
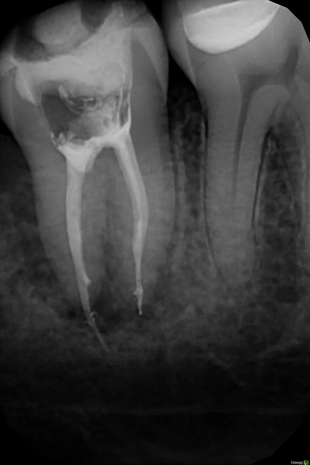
Удалить нервы запломбировать