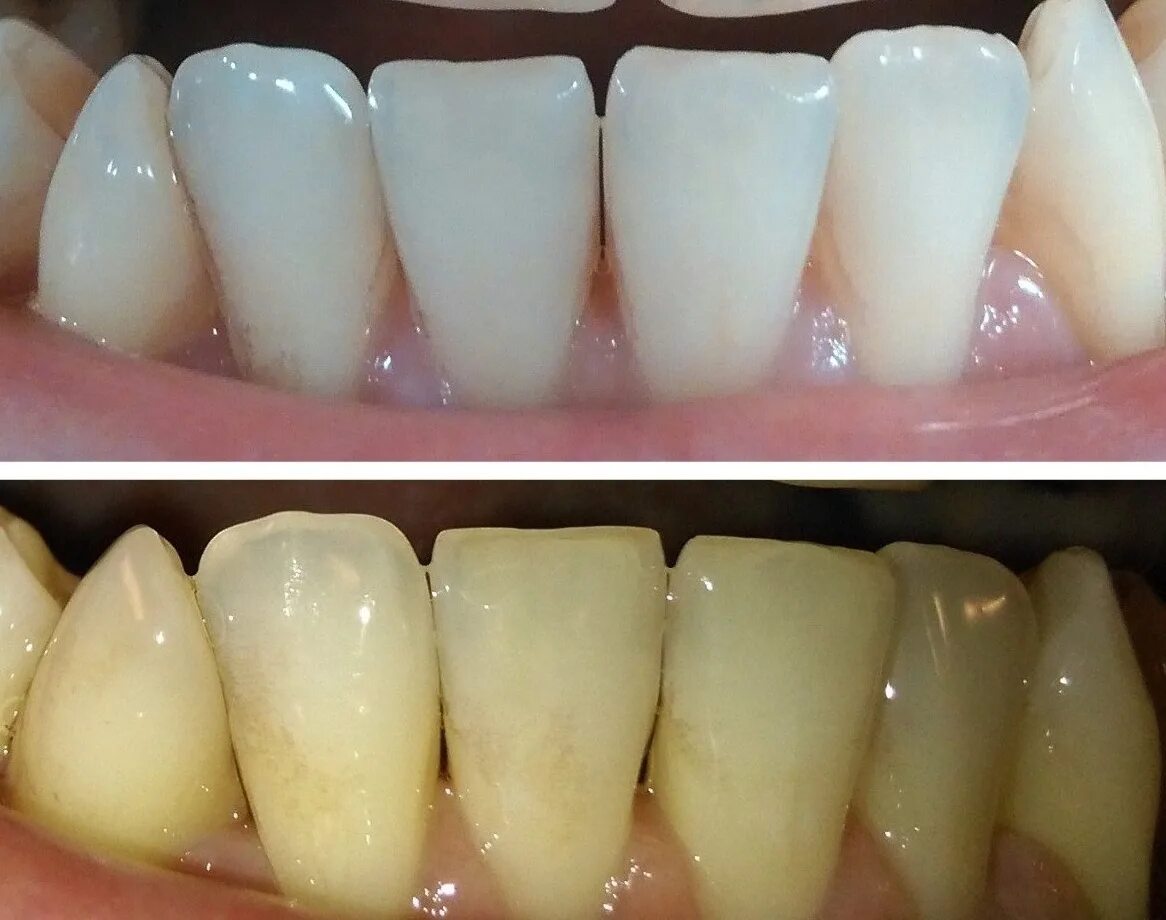
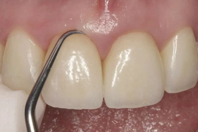
Удаление налета зубного камня