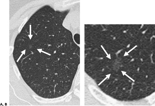
Участок уплотнения по типу матового стекла