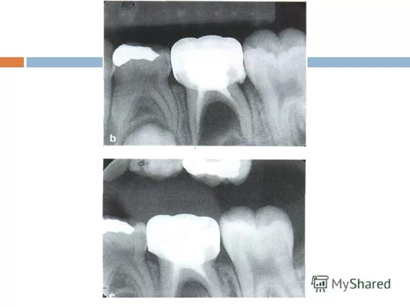
У ребенка нет зачатка постоянного зуба