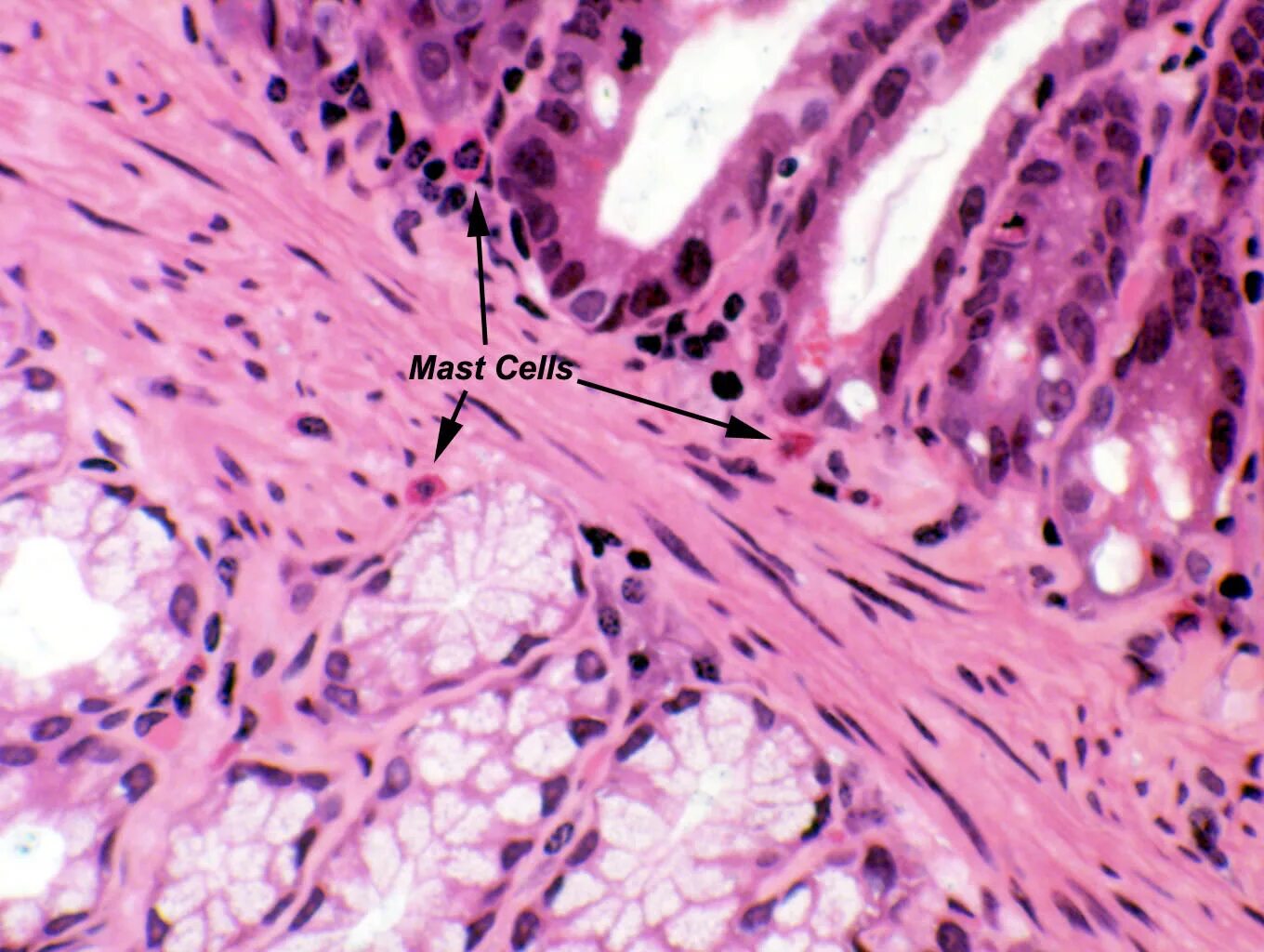
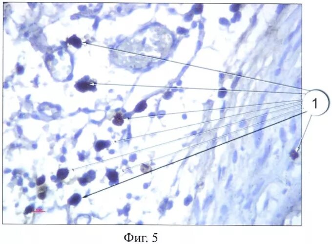
Тучные клетки гистология