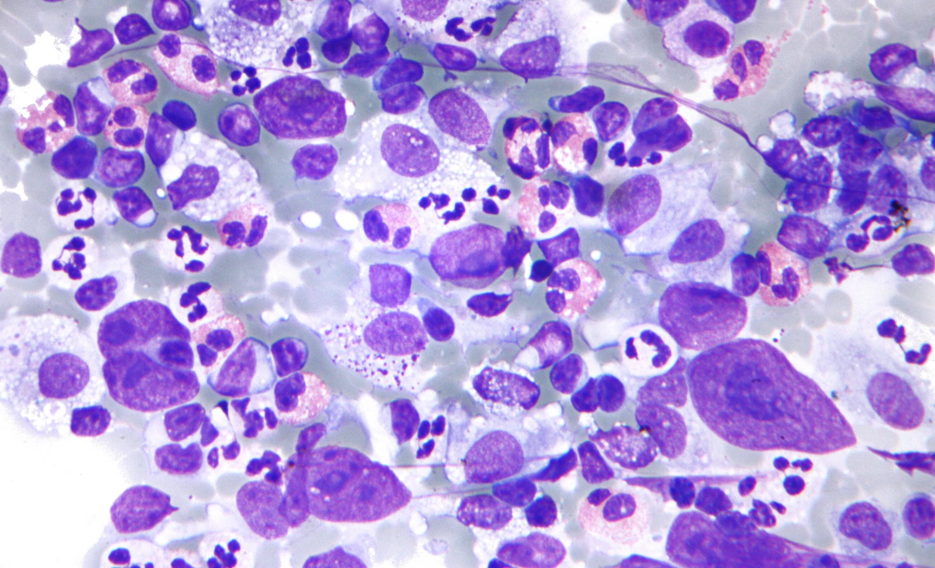
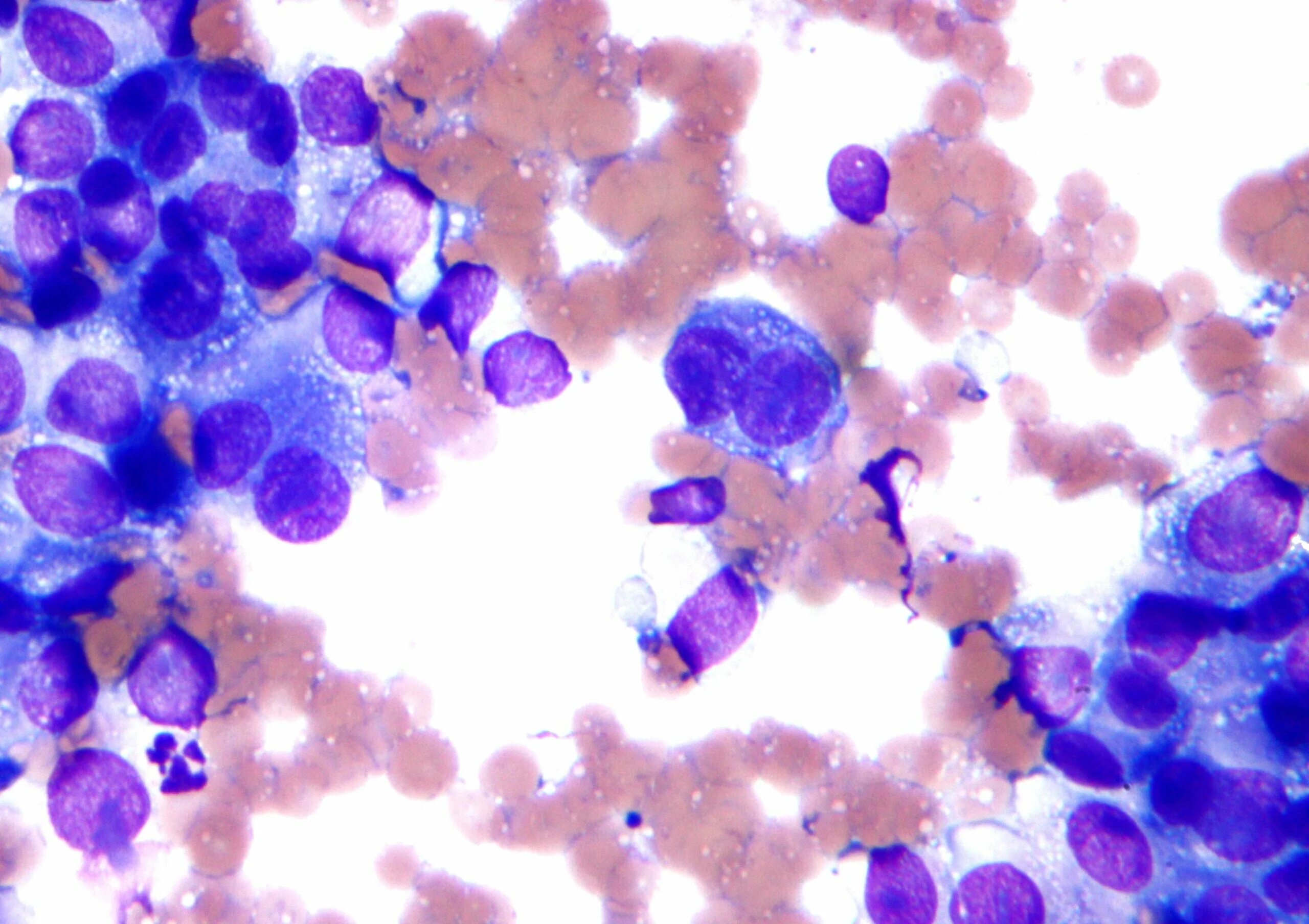
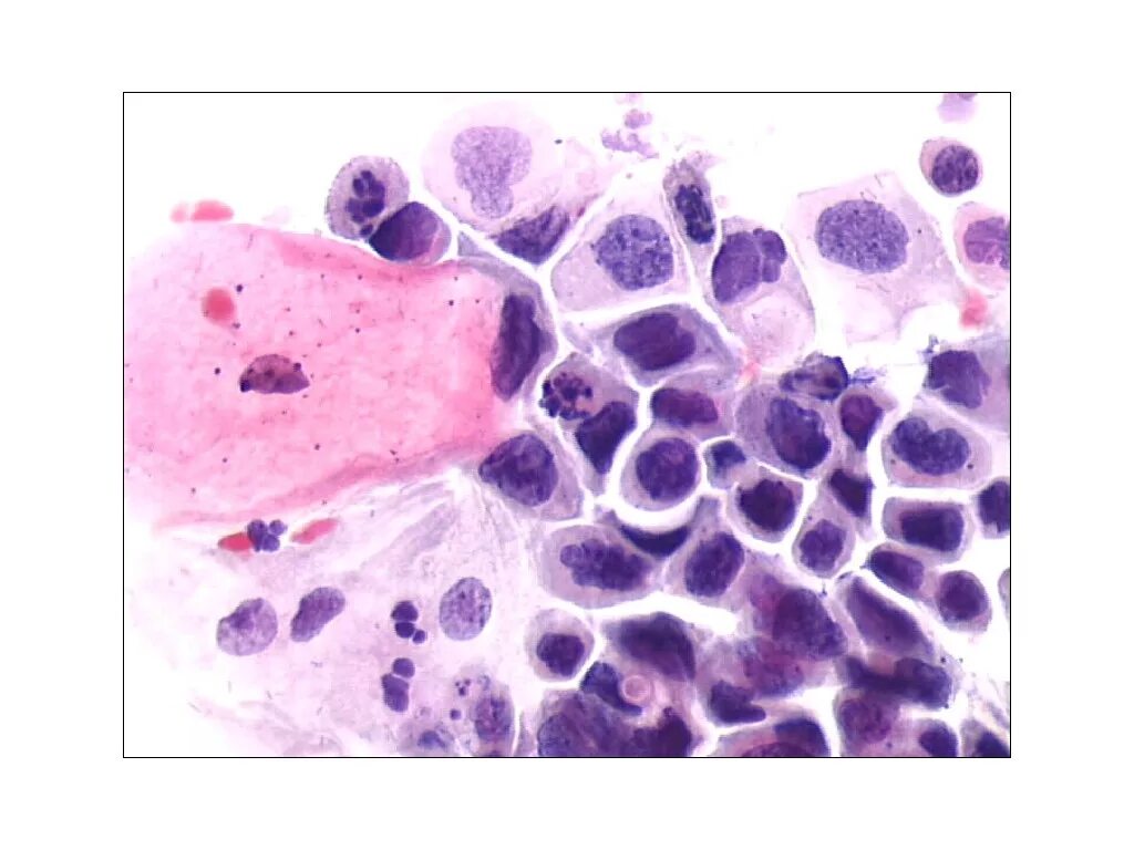
Цитологическое исследование 1