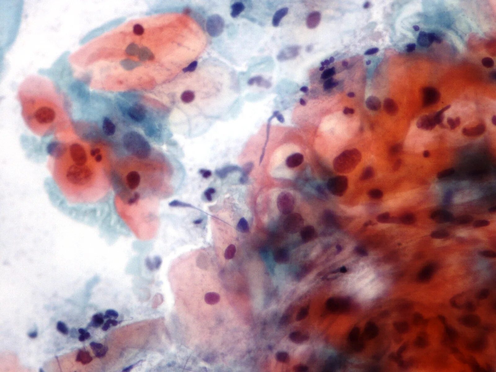
Цитограмма без интраэпителиальных поражений nilm