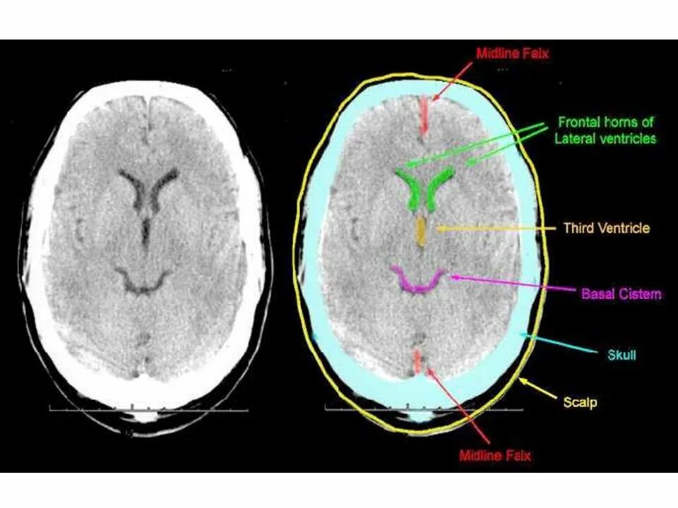
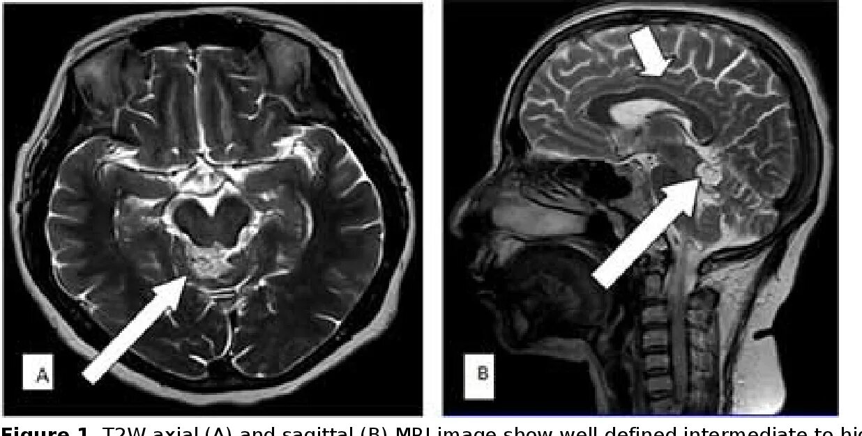
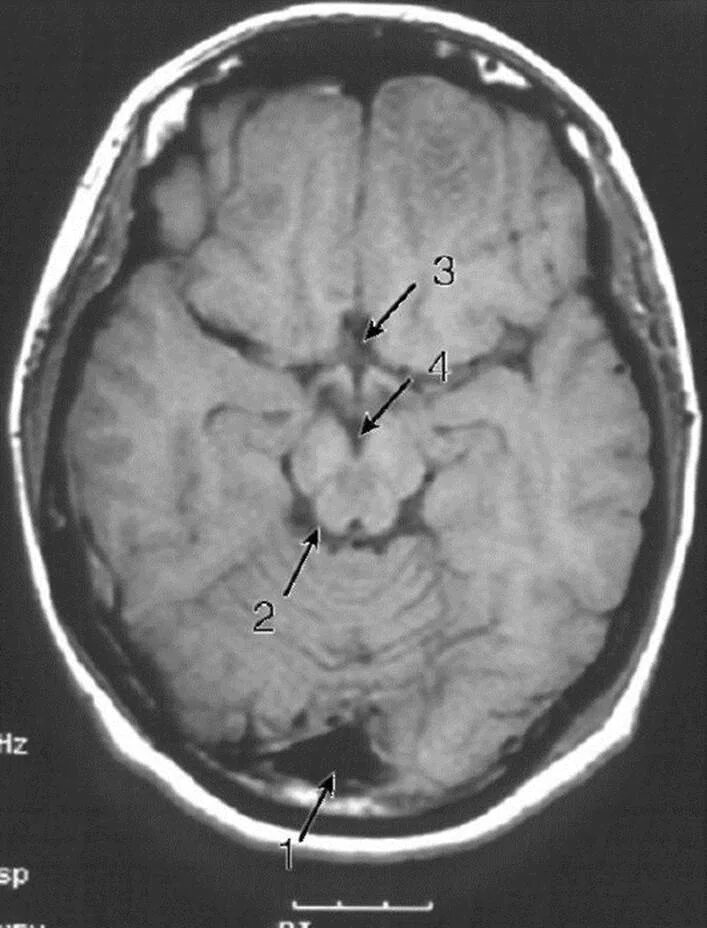
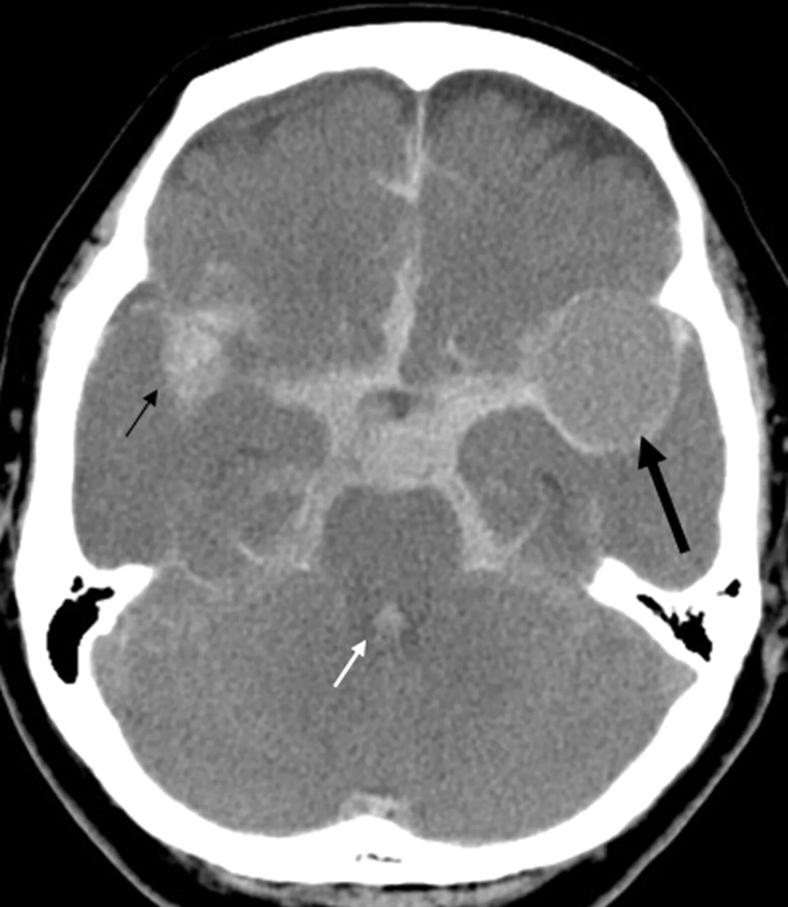
Цистерны на кт