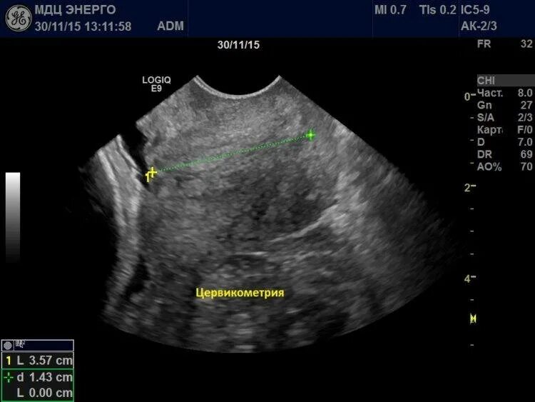
Цервикометрия при беременности как делают