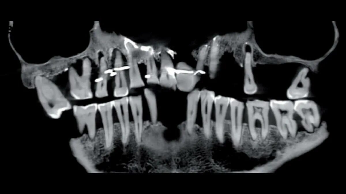
Трясутся зубы