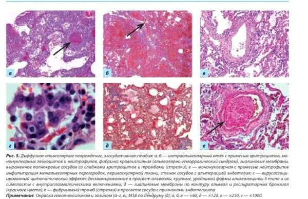
Тромбоза после коронавируса