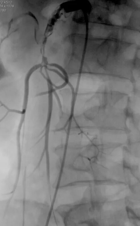
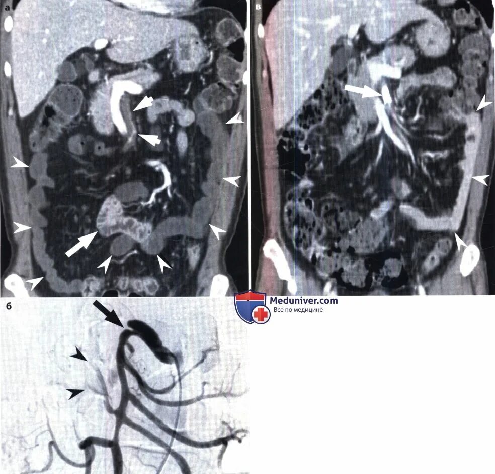
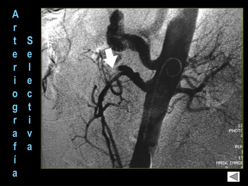
Тромбоз брыжеечной артерии